人気記事
ビジネス
マネー
政治・経済
キャリア
ライフ
社会
会員限定
動画
検索
ログイン
会員登録
ログアウト
マイページ
#コミック
#書籍抜粋
#日本史
#健康
#再配信
#中学受験
#朝ドラ
#スキル・話し方・書き方
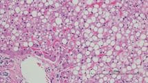
肝臓
内臓脂肪でも皮下脂肪でもない…医師が「放置するな」という糖尿病発症リスクを最大5倍にする"第3の脂肪"
尾形 哲
お酒を飲まないのに肝臓がフォアグラ状に…「脂肪肝になりやすい人」が摂りすぎている2つの栄養素
今城 健人
1~2週間で「脂肪が燃えやすい体」ができあがる…スーパーで買える「最強低カロリー食材」の「最強調理法」
尾形 哲
「肝臓を休ませる」よりずっと効果的…酒好きの肝臓専門医が「40歳すぎたらやめて」と警告するお酒の飲み方
浅部 伸一
「20歳の体重」から10kg増えたら要注意…肝臓専門医が「元には戻らない」と警告する「メタボ脂肪肝」の苦しみ
浅部 伸一
γ-GTPの数値だけでは見逃しかねない…「肝硬変や肝がんに至る可能性もある」40代男性に特に多い"肝臓の疾患"
池井 佑丞
お酒を飲まなくても「脂肪肝」になる…健康によさそうなのに実は肝臓をぶくぶく太らせてしまう危険な飲み物
名取 宏
「減塩をがんばる人」は自ら寿命を削っている…100歳までちゃんと使える「肝臓&腎臓」5つの新常識
和田 秀樹,栗原 毅
酒好き肝臓専門医が伝授…翌朝スッキリ目覚めの「サプリ商品名」と健康を害さない"最強の飲み方"10カ条
浅部 伸一
コーラとスプライト、内臓にいいのはどっち? 肝臓・腎臓を守って元気にする食品、ダメにする食品18選
栗原 毅,黒尾 誠
日本人の3人に1人は"脂肪肝"という深刻事態…知らぬ間に「肝臓に脂肪を蓄積させる」油よりやっかいな食品
尾形 哲
現役時代は試合後に焼酎3本→肝硬変で2か月入院…元女子プロレスラーが日常生活を取り戻すためにやったこと
ブル 中野
スポーツドリンクや果汁ジュースは脂肪肝一直線…先送りで後悔しない「肝臓レスキュー習慣」10
尾形 哲
なぜ「手術上手」だけではダメなのか…「肝臓で頼れる病院」全国72施設実名リスト
進藤 潤一
健康どころか肝臓をぶくぶく太らせる…専門医が患者に「買うのをやめよう」と説くコンビニで売っている飲み物
尾形 哲
食前に「たった一杯」飲むだけで肝臓の脂肪を落とせる…専門医の中では常識「食物繊維、発酵食品」あと一つは?
尾形 哲
「食事中むせる」「すぐつまづく」人は脂肪肝の疑い…肝臓外科医が40代から勧める「朝食に摂取すべき」食材の名前
尾形 哲
肝臓にラーメンスープ状の脂が溜まっている…酒を飲まない人の「脂肪肝」が約2300万人もいる衝撃理由
尾形 哲
シジミやウコンはむしろ肝機能を低下させる…多くの人が誤解している「健康に見えて実は肝臓を傷つける行為」
尾形 哲
「ヨーグルト」は○だけど「飲むヨーグルト」は×…テレビが絶対に報じない"健康的"な飲み物の不都合な真実
尾形 哲
超重要臓器・肝臓をボロボロにするのは酒だけではない…専門医がすぐにやめるべきと話す健康的な飲み物
尾形 哲
「お酒を飲む、飲まない」は関係ない…肝臓専門医が警告「脂肪肝になりやすい人」がやっている水分の摂り方
尾形 哲
水分は「水、お茶、無糖コーヒー」に限定すべき…肝臓外科医が警告する「甘い飲み物」と「脂肪肝」の怖い関係
尾形 哲
実はハイボールはビールより太りやすい…肝臓専門医が解説"一生お酒を楽しむために知っておくべきこと"
尾形 哲
生命維持に不可欠な超重要臓器なのに…肝臓が「痛みを感じない沈黙の臓器」である本当の理由
浅部 伸一
自覚症状はなく、血液診断では判定不能…人間ドックでなければ見つからない「脂肪肝」の恐ろしいリスク
浅部 伸一
元経済ヤクザ 「日焼けした肌、真っ白な歯の人をみると思ってしまうこと」
猫組長(菅原 潮)
酒好きの54歳女性が「孤独死」に至った真の要因
西尾 元
史上最年少の大学教授が狙う「多臓器一括再生」
田原 総一朗,武部 貴則
「お酒は少しなら体にいい」がちょっと違うワケ
名取 宏
1
2
プレジデントオンライン
肝臓