父親が突然死、母親が言語障害に
悪いことは重なるもので、同じ年、清水さんの父親が体調を崩し、病院を受診すると、心臓が悪いことが発覚。専門の医師に診てもらう段取りをしていたところ、入浴中に急死していた。74歳だった。
「父はお酒が大好きな人でした。それでも晩年の数年間は、自発的にお酒をやめてくれていたのですが、体調が悪化したあたりには、こっそりお酒を飲んでいたようです。心臓が悪いのにお酒を飲んでお風呂に入り、一度救急車のお世話になっているにもかかわらず、また同じことをやり、今度は亡くなってしまいました」
当時、67歳だった母親は、まだフルタイムでバリバリ働いていた。夜、仕事から帰宅して父親の姿がないことに気付き、家中を探し回ったところ、浴室で発見した。
母親から電話を受けた清水さんは、何となく嫌な予感がしていたという。実家に着くと、救急車ではなくパトカーが停まっていることに気付き、「やっぱり……」と思った。自宅での急死だったため、家族への事情聴取や遺体の検視が行われた。
そんな最中、ふと母親に話しかけると、反応がない。座ったまま固まったようになり、言葉が出ない。ちょうど到着した葬儀社の担当者も異変に気付き、救急車を呼ぶことに。
「病院に着いたとき母は、人が変わったように暴れ、『もう死んだっていいんだ~!』と叫び、手がつけられない状態になっていました。普段はこんな人ではないので驚きました。後で知ったのですが、脳梗塞の急性期に出る症状の一種だったそうです」
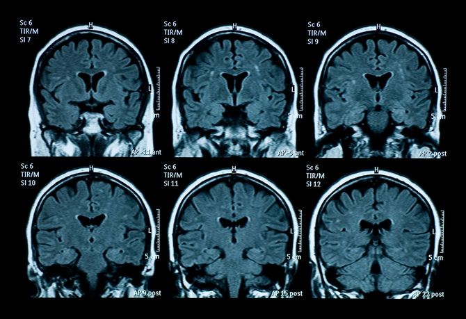
MRIを撮ったところ、脳梗塞によって言語領域が損傷を受けていることがわかり、急遽大学病院へ転院となった。だが、翌日に父親の通夜・葬儀を控えている清水さんは、一人っ子のため、他に頼れるきょうだいはいない。
翌日、母親の付添は母方の叔母に頼み、自分は喪主を務めた。導師が息子を気にかけ、大きな音を鳴らさないようにお経を上げてくれたため、息子は奇跡的に葬儀に参列できた。
それからは、毎朝息子を送り出してから実家へ向かい、少し実家を片付け、父親が兼業農家だったため、少し農作業をやり、母親の病院を見舞い、着替えなどを交換し、施設から戻った息子のことは夫に任せ、清水さんは22時頃帰宅する……という日々を過ごす。
1カ月後、母親はリハビリ病院への転院が決まった。
母親は運動能力には問題はなかったが、脳梗塞の後遺症で以前のようには言葉が出ず、出ても「窓開けるね」と言いながら閉めるなど、行動と反対の言葉を言うようになってしまっていた。
「医師から『もう1人暮らしは難しいよ』と言われ、何よりも母自身が、父が亡くなった家で一人暮らしをすることができなくなってしまったので、私の家へ呼び寄せ、同居することに決めました」
母親は、浴室で亡くなった夫を見つけたときの記憶が、トラウマになってしまったのだ。
以下、後編へつづく。


