脳の老化は記憶障害よりずっと前に前頭葉で起こる
怒りなどの原始的感情は、大脳辺縁系と呼ばれる脳の中でも進化上古い時代からあったとされる部分で生起されるのだが、それにブレーキをかけるとされるのが新皮質、とくに前頭葉である。
「ここで怒ったら、社会的地位を失う」
「手を出したら、警察沙汰になる」
「今の時代は、いつどこでスマホ撮影されたり、録音されたりするかもしれない」
このような思考や記憶を通じて、怒り感情を言動に変えることにブレーキをかけるのだ。
ところが、その前頭葉のブレーキ機能が高齢になると衰えてくる。ふだんは温厚で柔和な性格だと思われている人が、何かに怒りを覚えるとそれが止められず、つい手が出てしまったり、声を荒げたりしてしまう。場合によっては、本当に警察沙汰になってしまうのだ。
脳の老化というと記憶障害などを問題にする人が多い。9月28日、米ジョー・バイデン大統領(79歳)があるイベント会場で演説中、今年8月に亡くなった下院議員を探す姿を見せた。その代議士が他界した際にそれを悼む声明を発表しているので、「物忘れが進んでいる」という臆測を呼んだ。
退任後5年目でアルツハイマー病を公表したロナルド・レーガン大統領は、二男の回顧録によると第一期目の終わりには、すでに異変を感じていたという。
現役の国のトップや会社のトップが実はアルツハイマー病を発症していたということは珍しくないと私は考えている。というのは、初期レベルでは、記憶障害はあっても、知能はそれほど衰えないからだ。ただ、アルツハイマーという病気は50代までは1000人に一人くらいしかいない。
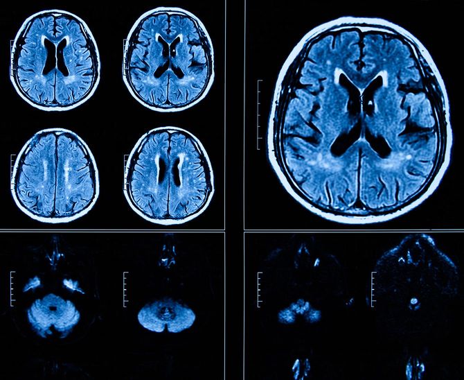
脳の老化は、こうした記憶障害よりはるかに前に前頭葉で起こっている。実際、CTやMRIのような頭の写真をみても40代から頭蓋骨と脳の前頭葉にあたる部分に隙間が見えるようになる、つまり委縮が目で見えるようになるのだ。
前頭葉機能が衰えてくると、意欲低下や前例踏襲思考が目立つようになる。前頭葉というのは、予想していなかったことに対応する機能も担っているので、前頭葉が衰えてくると、想定外のことを避ける傾向が出てくる。
例えば、ハズレをおそれて行きつけの店にしか行かなくなるとか、同じ著者の本しか読まなくなるとかいうのは前頭葉機能の低下の初期徴候の可能性が高い。
そして前頭葉の機能が衰えてくると、意欲が低下して、たとえば外出しなくてもいいやとか、出世しなくてもいいやということになり、さらに老化が進んでしまう。
というのも、歳を重ねるほど「使わなかった」際の機能低下が激しくなるからだ。例えば、コロナ禍などでの自粛生活。50代くらいまでであればステイホームを強いられる期間が2年以上になっても、歩けなくなったり、頭がボケたようになったりすることはない。しかし、70代以降になると本当に歩けなくなってしまう。だから、歩き続ける、頭を使い続ける意欲は極めて重要なのだ。
記憶の低下より、意欲の低下のほうが先に起こる、それが老化を促進してしまうということを知っておいてほしい。

