【前編のあらすじ】関東地方在住の知立瑠美さん(仮名・50代)の両親は、母親が16歳、反社会的勢力に属する父親が25歳の時に結婚。母親が17歳の時に知立さんが生まれた。まだ若い母親は、生後2カ月の知立さんを祖父母の家に置き去りにし、5歳まで祖父母に育てられる。その後も知立さんの生活は安定せず、両親や祖父母、叔父、叔母の家を転々とし続け、小学校4年から父親から性暴力を受けていた。
成人した途端、母親に家を追い出された知立さんは、27歳の時に10歳年上の男性と結婚。しかし同居の義母や義妹から虐められ、33歳の時に夫の浮気が発覚すると、翌年離婚。2012年に48歳で3歳年下の男性と再婚すると、75歳の義母と同居が始まる。義母は64歳まで長女(夫の姉)と暮らしていたが、63歳の時に義父を亡くして以降、長女が豹変。義母にろくな食べ物を与えなくなったため、うつ病や骨粗鬆症、脳梗塞を起こし、左半身に麻痺が残った。そんな状況を見かねて夫は義母を引き取っていた――。
2度目の脳梗塞
2024年7月9日はデイサービスが休みだった。休みの日の義母(87)は、起きていても昼過ぎまではリビングに来ない。
しかし14時近くになっても来ないので、知立瑠美さん(仮名・50代)は義母の部屋に向かう。
「お義母さ~ん? そろそろ起きてご飯食べないと……」
知立さんの声に反応し、のっそりとベッドから起き上がった義母の下半身に何気なく目をやると、ぐっしょりと濡れている。
「義母はリハビリパンツを使用中していたにもかかわらず、失禁してシーツや敷布団にまで尿が浸透していました。私は『え? これって1回分の量じゃないよね?』と驚き、動揺しました」
「お義母さん、大丈夫?」
と声をかけるも、義母は返事をしない。
「お義母さん、お風呂で体洗わなきゃだから立って!」
浴室に連れて行こうとするが、義母は体に力が全く入らない様子。
その姿にさらに動揺し、慌てた知立さんは、10年前、子どもたちが小学校に上がったことをきっかけに、近くのマンションに移った30代の義娘に電話する。
パートの仕事が終わった義娘は、状況を知ると、10分ほどで行くと答えた。電話を終えて振り返ると、義母は失禁を繰り返しながらも、這いずってリビングに向かおうとしていた。
駆けつけた義娘と一緒に義母を洗い、部屋や寝具類の後始末をすると、義母にお粥を食べさせる。
そうこうしているうちに夫が帰宅したため、義母を病院に連れて行くことに。
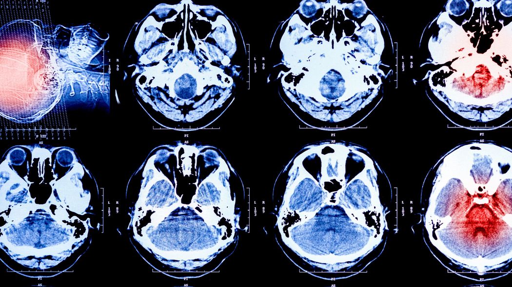
CTや血液検査を行った後、医師が「前から口って曲がってました? もしかしたら脳梗塞かもしれないのでMRI撮りますね」と言う。
結果はやはり脳梗塞だった。
「義母は64歳の時に脳梗塞を起こしていますが、その頃夫も義娘も、もちろん私も一緒に暮らしていなかったため、脳梗塞がどんな病気でどんな前兆があり、どんな症状を起こすのか、全く知識がありませんでした」
義母はそのまま入院することになり、知立さんと夫は入院や治療に関する説明を受けた。
「退院後の患者さんですが、どこか施設など探されますか?」
最後に看護師からこう尋ねられると、知立さんはびっくりして
「えっ? 家に連れて帰りますけど?」
と即答。
「退院したら当然家に連れて帰るものだと思っていた私は、『なんで施設?』と、その質問に驚きました。その時の私は、脳梗塞といっても小さかったし、その後の生活がそこまで変わるなんて思いもしなかったのです……」

