新型コロナ感染後やコロナワクチン接種後、長期間にわたり体調不良に苦しめられるケースが多数報告されている。症状は味覚障害や倦怠感、関節痛、記憶障害など多岐にわたる。このような後遺症を抱えながら生きる人々のリアルを、ジャーナリストの岩澤倫彦さんが取材した――。(後編/全2回)
※本稿は、『プレジデント』2024年12月13日号「コロナワクチンは危ないのか?」に追記・再構成したものです。
コロナと闘い、無事退院したものの…
「また新型コロナに感染したら、自分は死ぬだろうと思います。乗り切れたのは、運が良かっただけですから。同じ時期に多くの患者が亡くなっていくのを見ていました」
こう語るのは、首都圏の総合病院に勤務する外科医の男性(50代)。2020年11月に新型コロナに感染した。緊急入院したが、熱が下がらず、肺炎が悪化して呼吸の状態が低下したという。
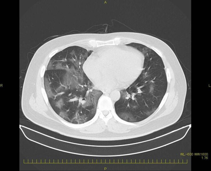
生死の境をさまよった当時の肺CT画像には、新型コロナの肺炎に特徴的な、「すりガラス状」の白い膜のようなものが写っている。
20日後にようやく退院できたが、彼の生活は一変した。
ついさっき止めた車の場所を忘れてしまう
「登山や水泳が趣味で体力には自信がありましたが、布団を押し入れにしまう動作や、すぐ近くにゴミ出しに行くだけで息が切れるようになりました。集中力も続かなくなってしまい、本や資料を読み続けることができません。
“短期記憶の低下”にも困りました。例えば、車を運転して家族とスーパーに行き、買い物を終えて戻ると、車の場所が思い出せない。ついさっき見た景色なのに記憶が蘇らず、愕然としました」
対策として駐車した場所をスマホで撮影するとか、メモを取るようにしたが、短期記憶の低下は今も残っているという。
このように、短期記憶の低下や、集中力が持続せずに思考が混濁する「ブレインフォグ」は、コロナ後遺症の典型的な症状の一つだ。
コロナ後遺症に悩んでいる人は少なくないが、周囲に打ち明けられずにいるケースも多い。仕事に影響が出る可能性もあるからだ。
コロナ後遺症は「Long COVID」とも呼ばれて世界的に問題となっている。報告されている症状は約200にも及ぶ。
主なコロナ後遺症の症状
息切れ、記憶障害、ブレインフォグ、疲労感、倦怠感、関節痛、筋肉痛、咳、喀痰、胸痛、脱毛、頭痛、抑うつ、嗅覚障害、味覚障害、動悸、腹痛、睡眠障害、筋力低下など
息切れ、記憶障害、ブレインフォグ、疲労感、倦怠感、関節痛、筋肉痛、咳、喀痰、胸痛、脱毛、頭痛、抑うつ、嗅覚障害、味覚障害、動悸、腹痛、睡眠障害、筋力低下など

