人気記事
ビジネス
マネー
政治・経済
キャリア
ライフ
社会
会員限定
動画
検索
ログイン
会員登録
ログアウト
マイページ
#書籍抜粋
#コミック
#健康
#日本史
#中学受験
#筋肉
#中国
#書籍抜粋
記憶が消えていく、夜眠れない、髪が抜け落ちる…特効薬のない「新型コロナ後遺症」を抱えて生きるリアル
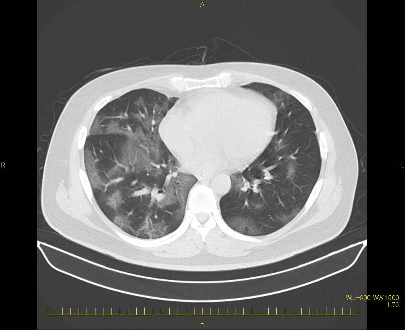
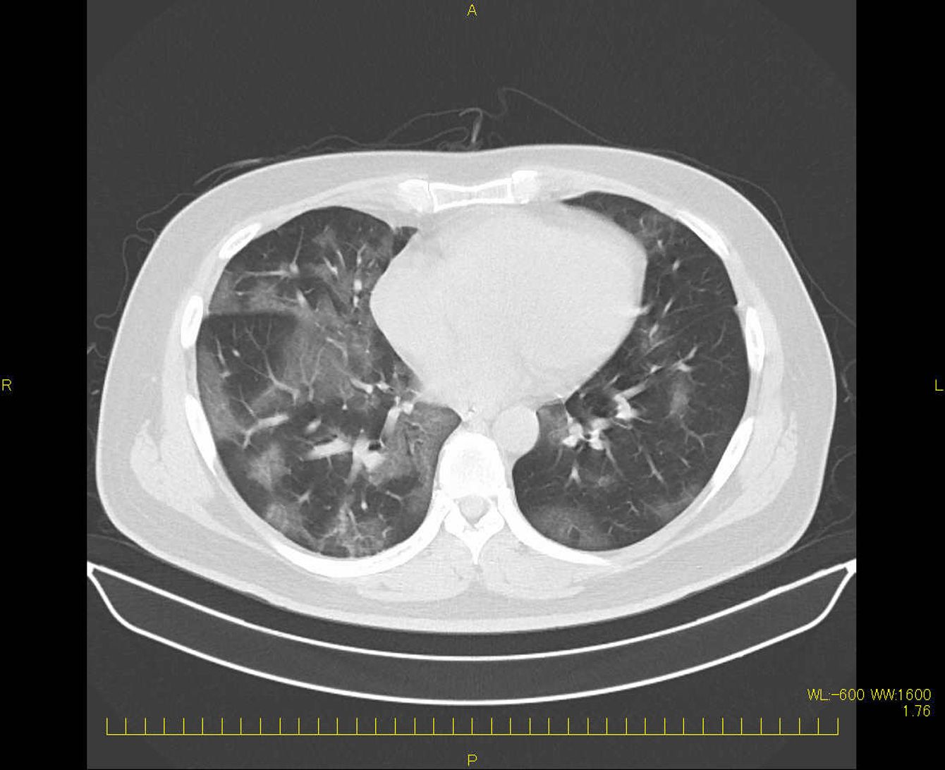
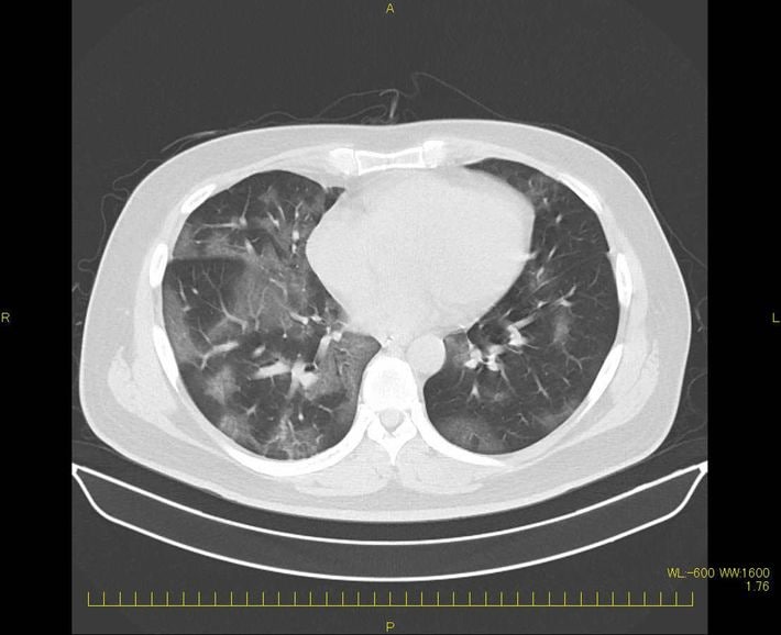
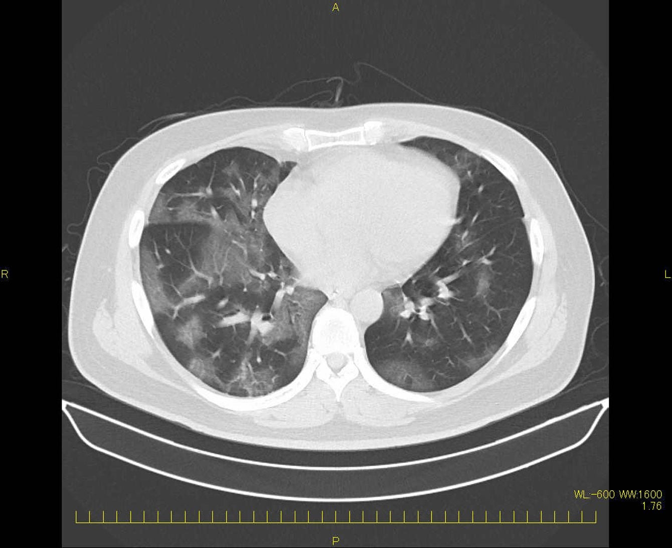
新型コロナに感染した外科医の肺CT画像
コロナワクチンの接種率は低調になっている
片山秋介さんの診察を行う、平畑光一医師(ヒラハタクリニック)
外来のほか、オンライン診療にも対応している平畑医師
ワクチン後遺症を抱える竹中真一さん
竹中さんに処方された大量の薬
ギターを演奏する竹中さん
ファイザー社のコロナワクチン
医薬品を社会学の視点で研究する、東京大学大学院の小野俊介准教授
この写真の記事を読む
あわせて読みたい
この記事の読者に人気の記事
社内政治が巧みな"コミュ力おばけ"が出世する会社に限界がきている…日本企業にはびこる"閉塞感"の正体
トップページへ
「1年4カ月で63kg→46kg」産後太りの30代女性がダイエットで初めて知った"から揚げ1人前"の本当の個数
トップページへ
IWCの時計がやっぱり男心をつかむわけ。 「IWCらしさ、成功の条件、注目の新作」をチーフ・デザイン・オフィサーに聞く
トップページへ