「脂肪肝」を放置するとどうなるのか
肝臓の一つひとつの細胞(肝細胞)に、水滴のような脂肪がたまるのが脂肪肝です。その脂肪によって、肝臓の細胞が少しずつ壊れていきます。
ですが、肝臓は予備力がたっぷりあり、しかも「再生」しやすい臓器です。たとえ細胞がいくつか壊れても、肝臓は何度でもそれを「修復」して再生します。しかも、壊れた細胞は、取り除かれて、分解されて、栄養素として再利用されます。
ところが、です。
肝臓の細胞が壊れるときに、「炎症」が起きることがあります。この「炎症」が問題なのです。
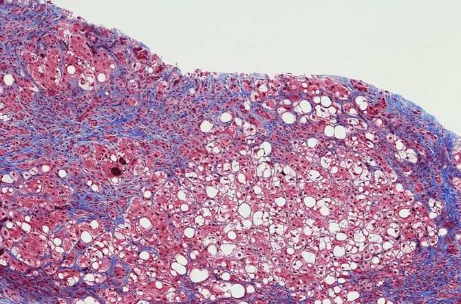
炎症が起きていると、肝臓は再生するときに「結合組織」と呼ばれる余分な物質を作ります。修復や再生を繰り返すうちに、結合組織の厚みがどんどん増していき、組織の中に壁が作られます。その壁は、細胞の横に作られる網目状の布紐のようなもので、「肝臓の線維化」と呼ばれます。
線維化そのものが何かの症状を引き起こすわけではありませんが、肝臓の細胞の一部が線維に置き換わると、そのぶん肝細胞が少なくなって肝臓の機能は低下します。しかも、増えた結合組織が、血液が肝細胞へ流れるのを邪魔するので、ますます肝臓の機能が低下します。
線維化が繰り返されると肝臓は硬くなり、やがて「肝硬変」という深刻な病気へと進んでいきます。ちなみに、肝臓の線維化が起きやすい人と、あまり起こらない人がいます。両者の違いがどこからくるのかは現代医学でもまだ判明していません。
肝臓が炎症を起こした病気が「肝炎」
前述したように、問題は「炎症」です。「肝炎」は、なんらかの原因で肝臓に炎症が生じる病気です。放置すると、肝硬変や肝臓がんに進行していきます。肝炎は自然に治るケースがある一方で、重症化して「劇症肝炎(急性肝不全)」となり、命にかかわるケースもあります。また、慢性化することもあります。
肝炎にはいくつかの種類がありますが、そのなかで脂肪肝の人に特に警戒してほしいのは「NASH(非アルコール性脂肪肝炎)」です。
NASHとは、一般的に「脂肪肝炎」と呼ばれる状態で、進行性の慢性肝炎です。つまり悪化が進む、慢性化した病気です。NASHは「肝硬変」や「肝臓がん」という深刻な病気のもとになります。「脂肪肝」→「NASH」→「肝硬変」→「肝臓がん」というプロセスをたどることになる可能性があります。
脂肪肝になった人の10~20%は、NASHになります。10~20%と聞くと少なそうですが、母数が多いので実際の人数はかなりにのぼります。

