※本稿は、浅部伸一『長生きしたけりゃ肝機能を高めなさい』(アスコム)の一部を再編集したものです。
男性は3人に1人、女性は5人に1人が脂肪肝
いま日本の成人男性の3人に1人、女性の5人に1人が「脂肪肝」だと言われています。脂肪肝の予備軍になると、実に2人に1人とも。もはや「脂肪肝は国民病」と言っても過言ではありません。あなたの身近にも「実は脂肪肝なんです」という方がいるかもしれません。
脂肪肝も生活習慣病のひとつです。脂肪肝は、お酒が原因になったケースを除くと、30歳ぐらいから増えてきます。脂肪肝の人はとてもたくさんいます。肝臓の病気にもいろいろな種類がありますが、今、まさに増えているのが脂肪肝です。
「脂肪肝」とは、「肝臓に脂肪がたまった状態」です。「内臓脂肪」が胃や腸などの「臓器の周囲につく脂肪」だと知っている人は、脂肪肝もまた、肝臓の周囲に脂肪がべっとりまとわりついた状態だろうと思うかもしれません。いいえ、違います。
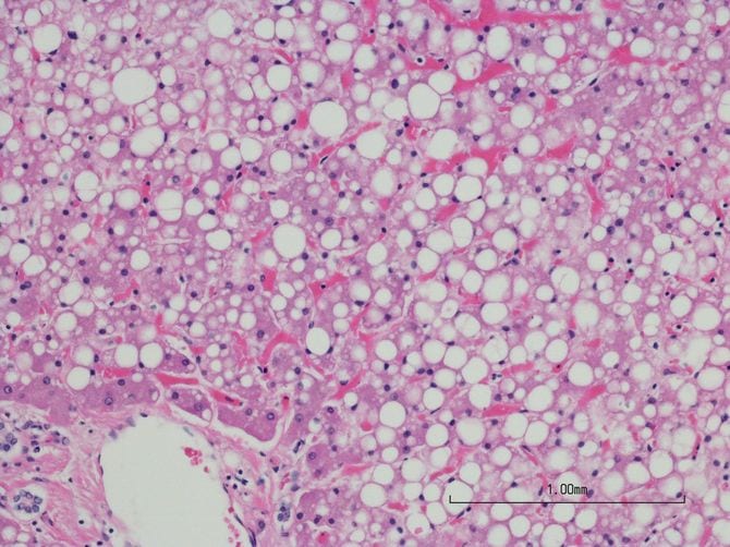
では、肝臓のどこに脂肪がたまっているのでしょうか。脂肪肝とは、肝臓を形成している細胞、つまり肝細胞の一つひとつの中に、水滴のような形で脂肪がたまっている状態なのです。
脂肪といえば、豚肉などの白くて硬い脂身のようなイメージが浮かびます。あの見慣れた脂身は、脂肪の温度が下がって固体に変化した状態です。人間も含めて、生きている動物の温かい体の中では、脂肪はもっとずっと柔らかいのです。内臓脂肪も固体ではなくゲル状です。硬くはありません。体温で溶ける良質のバターのようなものだと思ってください。
同じように脂肪肝の脂肪も、粘性はありますが、柔らかいものです。肝細胞の中に、ぷよんぷよんとした水滴のような状態で存在しています。
症状はほとんどなく、健康診断でもわからない厄介な病気
怖がらせたくはないのですが、「自分は大丈夫」と思い込むのはとても危険です。なぜなら肝臓は、なかなか自覚症状があらわれない「沈黙の臓器」だからです。
「痛くもかゆくもない」ので安心しているあいだに、体の中では着々と脂肪肝が……、という事態になっていないとも限りません。そして、体が悲鳴を上げる頃には、肝臓はすでに末期的な状態に陥っているのです。

