前頭葉の老化とは
人間の脳は、歳をとると萎縮します。この脳の萎縮こそが脳の老化ということなのですが、とはいっても、スポンジがひからびるように脳全体が一気にしぼんでしまうというわけではありません。
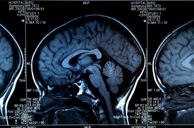
脳のなかで最も早く萎縮し始める(=老化し始める)のが、前頭葉です。そしてこの老化(神経細胞の減少の加速)は、なんと40~50代くらいから始まることがわかっています。
「年寄り」どころかまだまだ働き盛りの年代から始まってしまうというのは初めて聞く方には相当ショックだと思いますが、では、この前頭葉が老化すると、どんな症状が起こるのでしょうか――。
前頭葉の主な機能は、①意欲と感情のコントロール、②思考のスイッチング、③クリエイティビティ(創造性)です。
それゆえ、前頭葉の老化によって、①自発性や意欲が減退する、感情が老化する、②ある感情や考えから別の感情、考えへの切り替えが悪くなる・できなくなる、③新しい発想や、創造的なことができなくなる、という症状が起こります。
具体的には例えば、感情のコントロールがきかなくなるために怒りっぽくなり、さらに感情のスイッチングがうまくいかないために、一度怒りだしたらいつまでも怒っている、といったことが起こります。また、自発性や意欲が減退するため、何かにつけて面倒くさくなったり、体を動かすのが億劫になります。
創造性がなくなるので、アイデアも出てこなくなり、考え方も平板になります。実際に症状は様々な形で現れてくるのですが、前頭葉の老化を示す萎縮の様子は、MRIなどの画像でははっきりと見てとれるにもかかわらず、本人はなかなかその症状に気づかないという厄介さがあります。
前頭葉の機能は、いわば「人間らしさの源泉」ともいえるのですが、使わなくても不自由はしませんし、生きていくことはできます。この点が、前頭葉の老化を自覚しにくくしているといえるでしょう。

