老人保健施設か有料老人ホームか
2018年2月、中部地方在住の増田十和子さん(仮名・50代)は実家から帰宅した途端、77歳の認知症の母親が病院に救急搬送されたという電話を受けた。飼っていた15歳の猫が姿を消し、母親が探しに行って転び、近所の人が見つけて救急車を呼んでくれたらしい。
ちょうど仕事から帰ったばかりの夫が、増田さんを搬送先の病院まで送ってくれた。
母親の病室には、弟夫婦と同じタイミングで到着。母親に「どうしてこんなことになったの?」と声をかけると、「痛い。わからん」と首を振る。
「トラがいなくなったの?」と聞くと、「トラがいなくなった。見つかりゃへん」と言う。
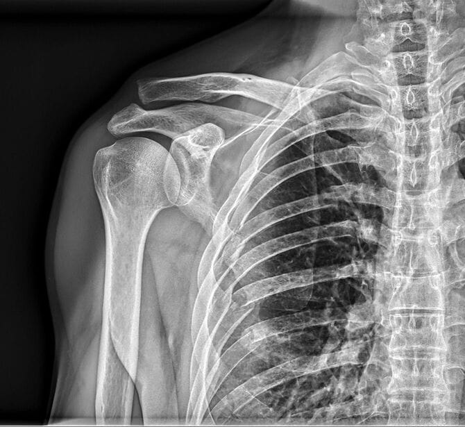
その時担当医が来て、レントゲン写真を見せながら説明を始めた。
「母の左側の肋骨は、12本のうち9本が折れており、3本にはひびが入っていて……こんなにボッキボキに骨折していても、コルセットを付けるぐらいしか処置の方法がありませんでした。また、医師は『お母さんは一人暮らしとのことですが、何もなければ2~3日で退院になる。退院後は実家で誰かが世話するのか、リハビリができる施設に身を寄せるのか、ソーシャルワーカーと相談してください』と言われました」
その夜、増田さんは母親の入院のために必要なものを取りに実家に行くと、まずはトラを探した。するとトラは、仏壇の裏にいた。15歳のトラは腎不全を発症していて、食欲がない。
増田さんは部屋を暖めて、毛布でトラの寝床を作り、水を飲ませてやった。
翌朝、母親の病院へ行き、トラが見つかったことを伝えたが、母親はもう、トラがいなくなったことを覚えていなかった。
弟とソーシャルワーカーの面談を受けると、弟は「2〜3日で退院なんて無理! 退院を拒否しよう」と言う。一方、ソーシャルワーカーは、老人保健施設を提案した。ただ、老健は要介護1以上の認定が入所条件になるが、この時母親は認定結果待ちだった。
「今の状況なら要介護1は出るでしょうから、ちょっと役所にかけ合ってみますね」
ソーシャルワーカーはそう言って、老健を第一希望、老健に空きがなければリハビリに力を入れている老人ホームを探すということに決まった。
実家に寄ると、トラはほとんど食べられなくなっており、増田さんが毎日、動物病院に連れて行き、点滴をしてもらっていた。
増田さんは、「このまま母が施設に入ったら、母とトラはもう会えないのではないか」と考えていた。
その日の午後、母の面会に行くと、主治医が母親を支えて歩かせていた。増田さんは思わず、
「こんなに歩けるなら、ちょっと助けたら家で暮らせるんじゃないの?」
と口にする。すると母親が、
「そうよ、私ってなんでここにいるの? ただの打ち身でしょう? 早く帰りたいわ!」
とあっけらかんと言う。
そこへ主治医も、
「そうだよ。施設なんか入ったら決まった時間しか歩かせてくれんから、そりゃあ自宅に帰ったほうが回復も早いよ!」
と笑いながら頷く。
その日の夜、増田さんは弟にLINEした。
「今日、お母さん、わりと歩けていたから、退院させようと思う」
朝イチでソーシャルワーカーに母親を通い介護する決意をしたことを伝えると、「それができるならそのほうが良いです。その後また困ったことがあったら相談に乗りますよ」と言ってくれた。
実家に戻った母親は、8日間愛猫と過ごすことができた。

