人気記事
ビジネス
マネー
政治・経済
キャリア
ライフ
社会
会員限定
動画
検索
ログイン
会員登録
ログアウト
マイページ
#書籍抜粋
#健康
#コミック
#中学受験
#インタビュー
#皇位継承
#日本史
#メンタル
なぜ、【パ】を1秒で6回言えないと危ないのか
※写真はイメージです
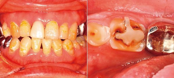
健康酢で歯の表面がドロドロに溶けた状態(左)。クエン酸をコーラで服用するのを繰り返していた患者の歯。詰め物が浮き出ているように見え、歯が大きく減っているのがわかる(右)。
この写真の記事を読む
あわせて読みたい
この記事の読者に人気の記事
元・優等生がメイド服に着替えた理由。26歳オタク女子が見つけた「自分ファースト」な生き方
トップページへ
【成城学園前・累計販売数60万本!】1965年の創業以来愛され続ける、成城を代表するおやつ 『成城アルプス』の「モカロール」
トップページへ
主役はオイスターとパーペチュアル。実用腕時計のセオリーが誕生した1931年のある日と最新の進化[2026年新作腕時計]
トップページへ