人気記事
ビジネス
マネー
政治・経済
キャリア
ライフ
社会
会員限定
動画
検索
ログイン
会員登録
ログアウト
マイページ
#書籍抜粋
#健康
#コミック
#中学受験
#インタビュー
#皇位継承
#日本史
#メンタル
肺がん検診の「異常なし」を信じてはいけない…「もう手術はできない」と宣告され、7年闘病した40代男性の後悔
【画像1】「異常なし」と記載された検査報告書
令和4年人口動態統計
より編集部作成
令和4年人口動態統計
より編集部作成
【画像2】肺がん手術VATSの第一人者である河野匡氏
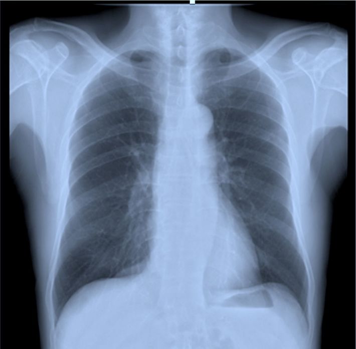
【画像3】胸部X線の画像では、肺と骨や臓器が重なって”死角”ができる
読影を行う、千葉大学名誉教授の長尾啓一氏
国立がん研究センターがん対策研究所・検診研究部長の中山富雄氏
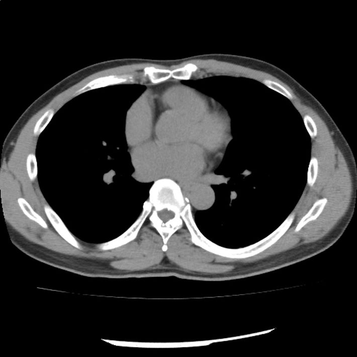
胸部を輪切り状に撮影したCT画像のひとつ(*患者本人の掲載許諾済み)
岩澤倫彦『がん「エセ医療」の罠』(文春新書)
この写真の記事を読む
あわせて読みたい
この記事の読者に人気の記事
元・優等生がメイド服に着替えた理由。26歳オタク女子が見つけた「自分ファースト」な生き方
トップページへ
【dancyu食堂】もちっと香ばしい麺が主役!半年以上かけて開発した"普通で最高においしい"オリジナル焼きそばが祭でデビュー
トップページへ
「ここでは正当に評価されない…」退職を決意するZ世代が会社に見切りをつけた"お金"ではない本当の理由
トップページへ