コロナ禍の転倒
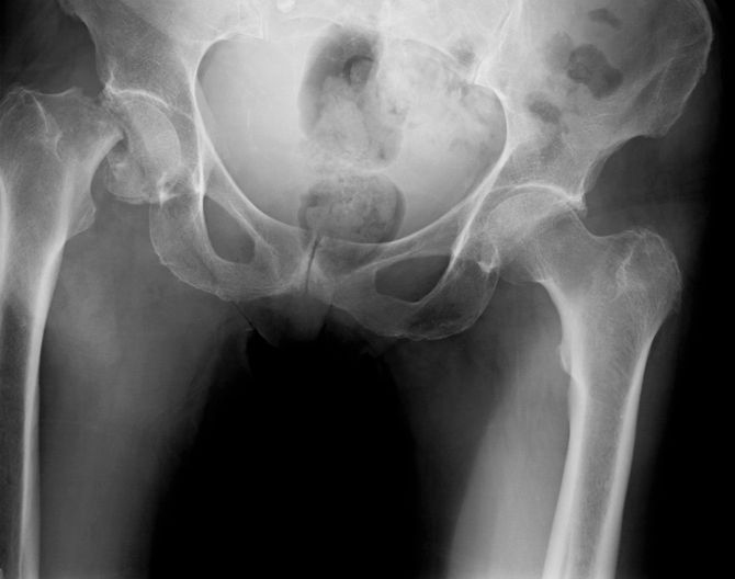
7月。10時ごろ、鈴木さんが夜勤から帰宅すると、母親が自宅で転倒したらしく、動けなくなっていた。父親も自宅にいたが、ただただ困惑し、何もできずにいた。鈴木さんは、母親の足の曲がり具合や左右差からすぐに「大腿骨頚部骨折」を疑い、救急車を要請。コロナ禍だったが、幸いにも近くの病院に搬送され、すぐに手術をしてもらえた。
だが、3週間の入院中、一度も面会はできず。やがて、病院から「長谷川式認知症スケールが13点のため、身体拘束を行います」と連絡があった。
8月。母親と面会ができないことがつらかった鈴木さんは、自分が勤める病院の回復期リハビリ病棟へ転院を決める。転院の日、3週間ぶりに会った母親は発語がなく、表情も乏しく、まるで別人のよう。鈴木さんが話しかけても、全く無反応だった。
「入院前は笑顔を絶やさず、『お母さん、バカになっちゃったけどみんなで暮らせて晩年が一番幸せ』なんて喜んでいたのに、私が知っている母はもういませんでした。母の変化に強い衝撃を受け、母に何か良くないことが起きている……と、ただならぬ胸騒ぎを感じました」
転院先の新しい主治医も、「違和感」があったようだ。鈴木さんは、神経内科に併診をかけ、MRIを撮影してもらう。
「私は、母は『進行性核上性麻痺』ではないのかと思うようになっていました。認知機能の低下に加えて、後ろにバランスを崩す『後方突進』、目がかすんだり字が読めなくなったりする『霧視』、喋りにくさや飲み込みにくさも出ており、症状が『進行性核上性麻痺』と一致していたからです。パーキンソン症候群の1つではありますが、より速く進行し、有効的な治療法はなく、より重度の筋強剛と身体障害をもたらし、発症後10年以内に死に至ります。まだ専門医の見解を聞く前から、私は絶望感と悲しみに包まれ、毎晩泣いていました」
ところが母親は、「クロイツフェルト・ヤコブ病」と告げられた。

